Изготовление металлокерамического протеза.
|
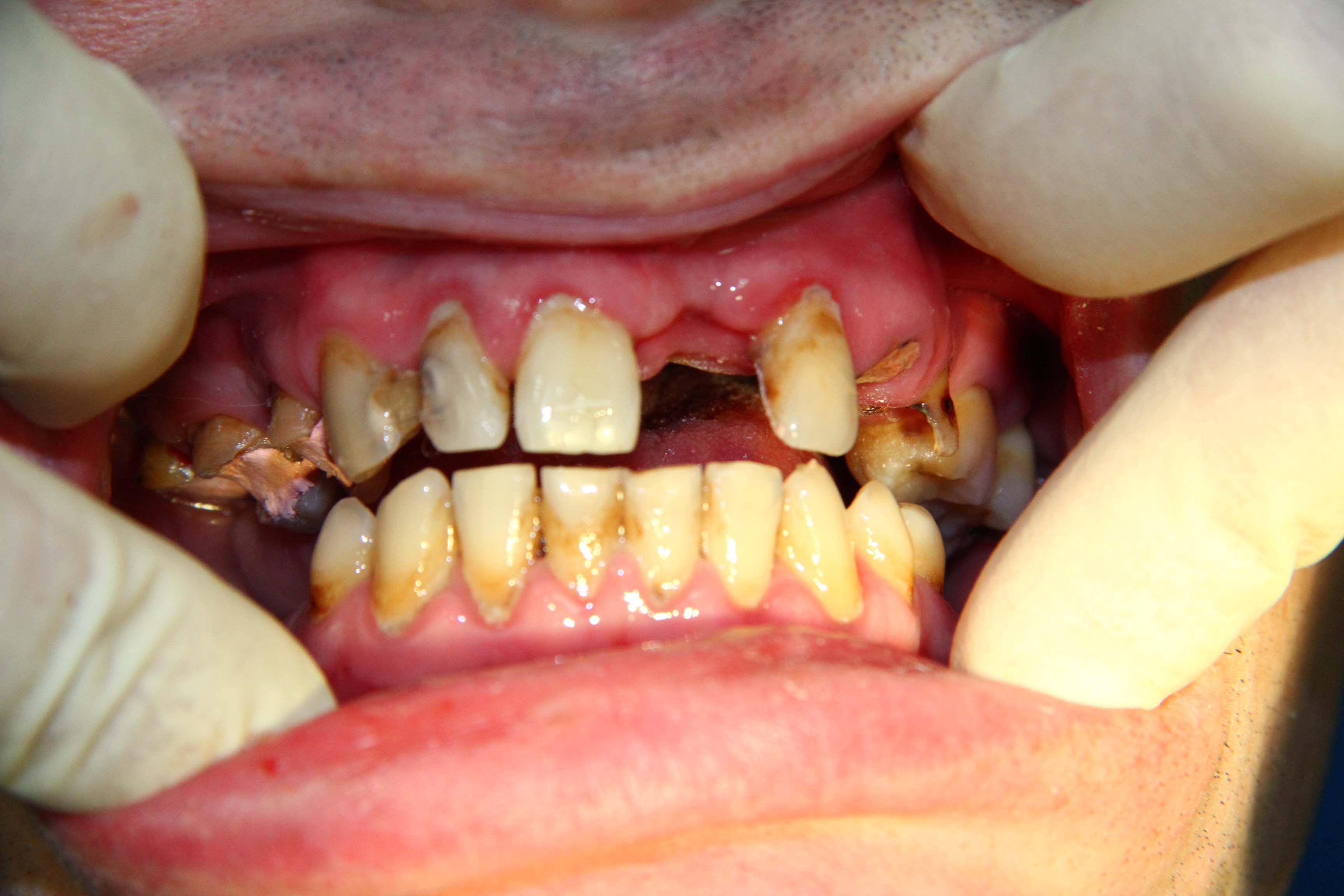
Вид до лечения |
Чтобы хоть как-то улучшить внешний вид пациента на период лечения и протезирования, была изготовлена временная и косметическая пластинка. |
Внешний вид с косметической |
|
|
|
Зафиксирован металлокерамический протез. Работа закончена. |



