Протезирование при полном разрушении коронковой части зуба.
|
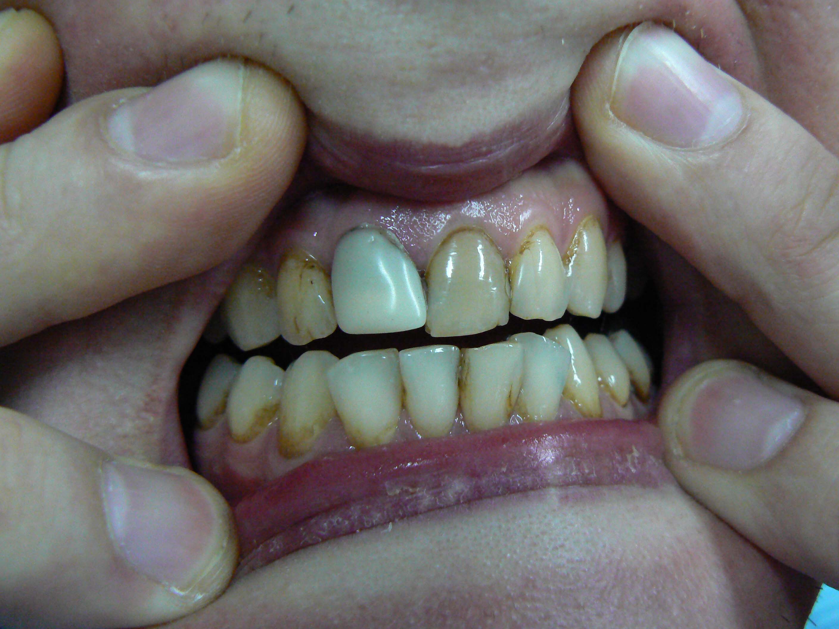
Вид до лечения. Жалобы на
|
Ранее пациент пользовался
|
После извлечения старой
|
|
После перелечивания (перепломбироваания) корневого канала зуба, изготовлена и зафиксирована на стеклоиономерный цемент культевая вкладка... |
...и временная коронка... |
После снятия слепка с уже зафиксированной культевой вкладкой, изготовлена и зафиксирована на стеклоиономерный цемент металлокерамическая коронка экономкласса. Работа закончена. |





